Respiratory Resource Center - LPT Medical
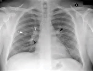
Pulmonary Nodules: What are They and Should You Worry?
Pulmonary nodules—or spots on the lung—are the source of...
Read More7 Reasons You Shouldn't Wait to Buy a Portable Oxygen Concentrator
If you’re a fiscally responsible person, you’ve probably trained...
Read MoreCOPD and Mild Cognitive Impairment: What Does This Respiratory Disease Mean for Your Brain
 COPD is a chronic respiratory disease that impairs...
Read More


